Метод повышения информативности рентгеновских снимков
https://doi.org/10.32362/2500-316x-2021-9-6-57-63
Аннотация
Описан основанный на высокочастотной фильтрации и морфологической обработке изображения метод обработки микрофокусных рентгеновских снимков, повышающий контраст деталей рентгенограммы. Одной из наиболее информативных методик рентгенографии является микрофокусная рентгенография. В ряде случаев микрофокусные рентгеновские изображения не могут быть достоверно проанализированы из-за особенностей способа съемки. Так, основными недостатками микрофокусных рентгеновских изображений чаще всего являются неравномерный фон, искаженные яркостные характеристики и наличие шумов. Предлагаемый метод повышения контраста мелких деталей изображения основан на идее сочетания высокочастотной фильтрации и морфологической обработки изображений. Метод состоит из следующих шагов: подавление шумов на изображении, высокочастотная фильтрация, морфологическая обработка изображения, получение результирующего изображения. В результате применения метода усиливается яркость контуров на изображении. На полученном изображении все объекты будут иметь двойные контуры. Метод был апробирован при обработке 50 рентгенограмм органов грудной клетки пациентов с разнообразной патологией. Рентгенограммы были выполнены в городской Мариинской больнице Санкт-Петербурга на цифровых стационарных и передвижных рентгеновских аппаратах. На большей части рентгенограмм удалось улучшить контраст снимков, выделить границы объектов. Также метод был применен в микрофокусной рентгеновской томографии для улучшения информативности проекционных данных и улучшения восстановления 3D-образа объекта исследования. Как для первого, так и для второго случаев метод показал удовлетворительные результаты. Разработанный метод позволяет существенно повысить информативность микрофокусных рентгеновских снимков. Полученные практические результаты позволяют рассчитывать на широкие перспективы применения метода, особенно в микрофокусной рентгенографии.
Об авторах
Н. Е. СтароверовРоссия
Староверов Николай Евгеньевич, аспирант
197376, Россия, Санкт-Петербург, ул. Профессора Попова, д. 5
Scopus Author ID 57193738290
А. Ю. Грязнов
Россия
Грязнов Артем Юрьевич, д.т.н., профессор
197376, Россия, Санкт-Петербург, ул. Профессора Попова, д. 5
Scopus Author ID 12142307400
И. Г. Камышанская
Россия
Камышанская Ирина Григорьевна, к.м.н., доцент; врач-рентгенолог рентгеновского отделения
199034, Санкт-Петербург, Университетская наб., д. 7–9
191014, Россия, Санкт-Петербург, Литейный пр., д. 56
Scopus Author ID 15834578000
Н. Н. Потрахов
Россия
Потрахов Николай Николаевич, д.т.н., профессор, заведующий кафедрой
197376, Россия, Санкт-Петербург, ул. Профессора Попова, д. 5
Scopus Author ID 8689381700
Е. Д. Холопова
Россия
Холопова Екатерина Дмитриевна, аспирант
197376, Россия, Санкт-Петербург, ул. Профессора Попова, д. 5
Scopus Author ID 57193737033
Список литературы
1. Arkhipov M.V., Priyatkin N.S., Gusakova L.P., et al. X-ray computer methods for studying the structural integrity of seeds and their importance in modern seed science. Tech. Phys. 2019;64(4):582−592. https://doi.org/10.1134/S1063784219040030
2. Потрахов Н.Н., Грязнов А.Ю., Жамова К.К., Бессонов. В.Б., Ободовский А.В., Староверов Н.Е., Холопова Е.Д. Микрофокусная рентгенография в медицине: физико-технические особенности и современные средства рентгенодиагностики. Биотехносфера. 2015;5(41):55−63.
3. Staroverov N.E., Gryaznov A.Y., Kholopova E.D. Digital x-ray image processing with using adaptive histogram equalization and adaptive background correction. Biomedicine Radioengineering = Biomeditsinskaya radioelectronika. 2018;5:56−58.
4. Staroverov N.E., Kholopova E.D., Gryaznov A.Yu., Zhamova K.K. The methods of processing of microfocus X-ray images. In: 2017 IEEE Conference of Russian Young Researchers in Electrical and Electronic Engineering (EIConRus). 2017, p. 745−747. https://doi.org/10.1109/EIConRus.2017.7910665
5. Мазуров А.И., Потрахов Н.Н. Возможности и ограничения микрофокусной рентгенографии в медицине. Биотехносфера. 2010;4(10):20−23.
6. Грязнов А.Ю., Потрахов Е.Н., Потрахов Н.Н. Портативная установка для рентгеновского экпресс-контроля качества пищевой продукции. Биотехносфера. 2009;6(6):26−28.
7. Stark J.A. Adaptive image contrast enhancement using generalizations of histogram equalization. IEEE Trans. Image Process. 2000;9(5):889−896. https://doi.org/10.1109/83.841534
8. Mukhopadhyay S., Chanda B. A multiscale morphological approach to local contrast enhancement. Signal Process. 2000;80(4):685−696. https://doi.org/10.1016/S0165-1684(99)00161-9
9. Parihar A.S., Verma O.P., Khanna C. Fuzzy-contextual contrast enhancement. IEEE Trans. Image Process. 2017;26(4):1810−1819. https://doi.org/10.1109/TIP.2017.2665975
10. Pogany A., Gao D., Wilkins S.W. Contrast and resolution in imaging with a microfocus x-ray source. Rev. Sci. Instrum. 1997;68(7):2774−2782. https://doi.org/10.1063/1.1148194
11. Pizer S.M., Amburn E.P., Austin J.D., et al. Adaptive histogram equalization and its variations. Comput. Vis. Graph. Image Process. 1987;39(3):355−368. https://doi.org/10.1016/S0734-189X(87)80186-X
12. Vincent L. Morphological grayscale reconstructions in image analysis: Applications and efficient algorithms. IEEE Trans. Image Process. 1993;2(2):176−201. https://doi.org/10.1109/83.217222
13. Грязнов А.Ю., Гук К.К., Староверов Н.Е., Холопова Е.Д. Метод повышения резкости и контрастности деталей рентгеновских изображений. Физические основы приборостроения. 2019;8(4(34)):34−37. https://doi.org/10.25210/jfop-1904-034037
14. Староверов Н.Е., Грязнов А.Ю., Потрахов Н.Н., Холопова Е.Д., Гук К.К. Новые методы цифровой обработки микрофокусных рентгеновских изображений. Медицинская техника. 2018;52(6):53−55.
15. Staroverov N.E., Gryaznov A.Y., Kholopova E.D., Guk K.K. Microelectronic devices digital X-ray image processing method development. J. Phys.: Conf. Ser. 2018;967(1):012016. https://doi.org/10.1088/1742-6596/967/1/012016
Дополнительные файлы
|
|
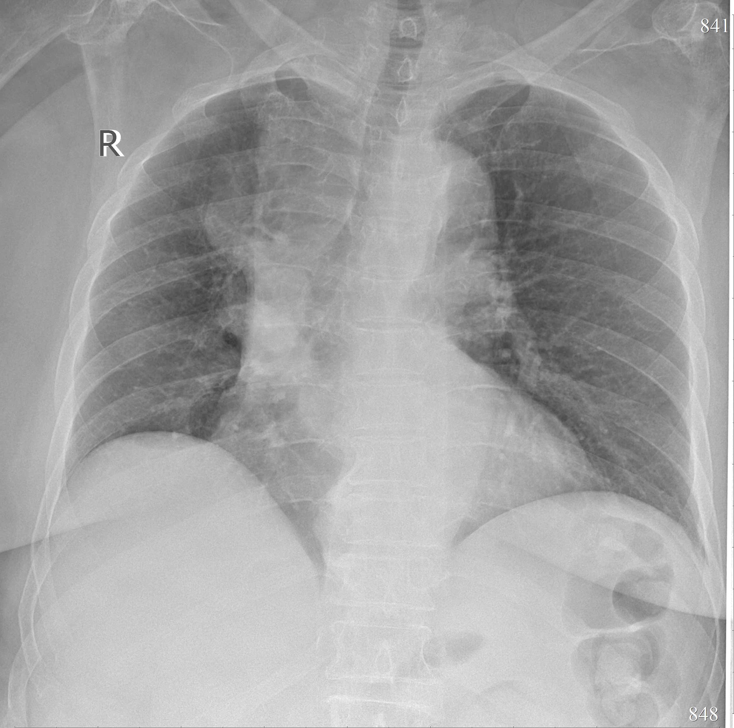
1. Рентгеновский снимок грудной клетки после обработки | |
| Тема | ||
| Тип | Исследовательские инструменты | |
Посмотреть
(247KB)
|
Метаданные ▾ | |
Описан основанный на высокочастотной фильтрации и морфологической обработке изображения метод обработки микрофокусных рентгеновских снимков, повышающий контраст деталей рентгенограммы. Метод состоит из следующих шагов: подавление шумов на изображении, высокочастотная фильтрация, морфологическая обработка изображения, получение результирующего изображения. На полученном изображении все объеns имеют двойные контуры. Метод был апробирован при обработке 50 рентгенограмм органов грудной клетки пациентов с разнообразной патологией.
Рецензия
Для цитирования:
Староверов Н.Е., Грязнов А.Ю., Камышанская И.Г., Потрахов Н.Н., Холопова Е.Д. Метод повышения информативности рентгеновских снимков. Russian Technological Journal. 2021;9(6):57-63. https://doi.org/10.32362/2500-316x-2021-9-6-57-63
For citation:
Staroverov N.E., Gryaznov A.Y., Kamyshanskaya I.G., Potrakhov N.N., Kholopova E.D. The method of increasing the information content of microfocus X-ray images. Russian Technological Journal. 2021;9(6):57-63. https://doi.org/10.32362/2500-316x-2021-9-6-57-63

























